動物学 研究室
Laboratory of Zoology
研究テーマ
- 哺乳類の生殖機構の解明
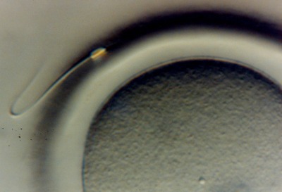
メスでつくられた卵子とオスでつくられた精子が出会い受精し、新しい生命が誕生する生殖機構は、生命活動の源であり、世界中で研究が行われていますが、そのメカニズムは未だ謎に包まれています。
また、近年では「不妊に悩む夫婦の増加」、「ウシなどの家畜での繁殖率の低下」、「絶滅に瀕している動物の保護における繁殖方法の模索」、「イノシシなど被害が増加する野生動物の繁殖制御の重要性」など、多くの分野で生殖機構解明の期待が高まっています。動物学研究室では、哺乳類の生殖機構を明らかにし、医療・畜産・食品・環境などの分野の発展に貢献することを目指して、マウスなどの小型哺乳類を用いて研究を行っています。 - 写真:受精, 精子免疫染色
- 写真:透明帯通過精子, 培養細胞
担当科目
- 基礎生物学
- 細胞生理学
- 細胞生物学 など
学生の皆さんへメッセージ
準備中
研究業績等
準備中
所属学会等
準備中






